Think you’re too young to have a stroke? Think again.
These flexible mesh tubes help keep narrowed arteries open and blood flowing.
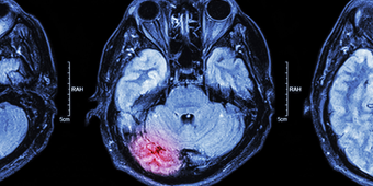
A loss of blood flow to the brain can cause slight or severe damage, depending on location and duration of the stroke.
Learn more about recovery with stroke rehab, the rehab team and choosing a place for rehab.
Three simple vascular screening tests could have life-saving results.
Technology comes to the rescue when every moment matters.
Balance, Eyes, Face drooping, Arm weakness, Speech slurring and Time: Remember these stroke signs and what to do.
Do everything you can to protect yourself from having a stroke.
Separate fact from fiction when it comes to stroke, a leading cause of death and disability in the U.S.
